Wenn Ihre Zähne nicht ganz so gerade, wie die vieler Schauspieler stehen, trösten Sie sich, denn Ihnen kann genauso wie den Schauspielern geholfen werden.
Die Stellung der Zähne wird vererbt. Durch Daumenlutschen oder Nuckeln über das 3.Lebensjahr hinaus oder andere kieferschädliche "Angewohnheiten" wie z. B. Bleistiftkauen verändert sich sowohl die Zahnstellung als auch der Kieferknochen. Eine Auffächerung der Zähne tritt auch bei Patienten mit Parodontose auf, weil das degenerierte Zahnbett dem Zahn keinen Halt mehr bietet (siehe Bild 1)
Nachdem diese äußerlichen Ursachen abgestellt sind, kann eine weitere Behandlung stattfinden.
Zahnfehlstellungen können durch "Kieferorthopädische Geräte" (herausnehmbare Zahnspangen (siehe Bild 5) oder festsitzende Bögen (siehe Bild 2), je nach Schwere und Art der Fehlstellung) altersunabhängig korrigiert werden. Da dabei die Zahnstellung und auch der Kiefer modelliert werden können, ist der günstigste Zeitpunkt des Behandungbeginns i.d.R. der Wachstumsschub anfangs der Pubertät mit etwa 10-12 Jahren. Wenn z. B. der Unterkiefer größer, als der Oberkiefer erscheint oder einzelne Zähne umgekehrt zubeißen (siehe Bild 4), kann eine Behandlung auch früher, mit 4-6Jahren erforderlich sein. Da die körperliche Entwicklung individuell unterschiedlich verläuft, sollte ein Beratungsgespräch frühzeitig erfolgen, um den Behandlungsablauf präzise festzulegen. Bei älteren Patienten ist der Knochen meist in sich stärker gefestigt, sodaß eine längere Behandlungsdauer nötig ist, um die Stellungsänderungen zu erreichen. Nach der eigentlichen Behandlung ist es wichtig, über einen längeren Zeitraum den Behandlungserfolg z. B. durch eine herausnehmbare Schiene oder Verblockung bestimmter Zähne (siehe Bild 3) zu sichern, weil gelegentlich die Zähne die verstärkte Tendenz haben, die alte Stellung wieder einzunehmen.
 aufgefächerte Zähne; Bild 2
aufgefächerte Zähne; Bild 2 Der
Kiefer ist bebändert; Bild 3
 Der
Kiefer ist bebändert; Bild 3 
 Schienung
der Zähne
 Schienung
der Zähne
 Verkehrter
Überbiß bei einem 7jährigem Kind; Bild 5
Verkehrter
Überbiß bei einem 7jährigem Kind; Bild 5 
 herausnehmbare Zahnspange
herausnehmbare Zahnspange Die zweite, zeitlich kürzere Möglichkeit - und daher von Erwachsenen bevorzugt - ist durch Überkronung oder den Vorsatz von Keramikverblendschalen einen harmonischen Verlauf der Zähne zu erreichen. Die Krone (siehe Bild 6) wird dabei wie ein Fingerhut auf den entsprechend reduzierten Zahn gesetzt und je nach Material mit Zementen oder neuerdings mit speziellen Befestigungsmaterialien, die das "Strahlen" des natürlichen Zahnes erhalten, dauerhaft befestigt.
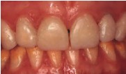
 Frontzahnkronen
Frontzahnkronen Bei der Verblendschale (Veneers) wird der vordere Bereich des Zahnes nur leicht reduziert und durch die Keramikschale ersetzt. Dies ist die ästhetisch hervorragende und zahnsubstanzschonende Versorgung (siehe Bild 7 u. 8).
 ohne Veneers; Bild 8 mit Veneers
ohne Veneers; Bild 8 mit Veneers  
 
Kleine Ecken oder Lücken an oder
zwischen den Zähnen lassen sich heute durch die Anwendung
modifizierter Composite-Kunststoffe ästhetisch befriedigend
ausgleichen. 
Wie das praktischische Vorgehen abläuft, können Sie unter der Rubrik Zahnersatz (z, B. Kronen, Brücken o. Implantate) und Zahnerhaltung (z. B. Füllungen, Inlays o. Veneers) erfahren.