Praxis Dr. Ralph Dichhardt Wilhelm-Breckow-Allee 1 51643 Gummersbach tel.: 02261/24040 fax: 02261/959238
Warum ist es sinnvoll, gerade
Zähne zu haben?
![]() | Die Zähne bilden zusammen mit dem Kieferknochen und dem Kiefergelenk eine Einheit (a).
Durch Fehlstellungen der Zähne werden der Knochen, die Muskeln und Sehnen und nicht zuletzt das Kiefergelenk (b) stärker belastet und verschleißen frühzeitig. | ![]() |
![]() | Die Zähne ohne Gegenzahn oder ohne Nachbarzahn suchen "menschlicherweise" Kontakt.
Sie finden diesen aber nicht und wachsen aus dem Knochen heraus und kippen zur Seite. Dadurch werden sie locker und fallen aus. | ![]() |
Die Zähne werden durch die Kippung einer falschen Belastungsrichtung ausgesetzt.
Daher sollte eine Brücke eingesetzt werden, um Schäden sowohl der Zähne vor und hinter der Lücke, als auch im Gegenkiefer zu verhindern. | ![]() |
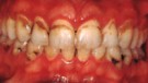
Aus den folgenden Bildern können Sie entnehmen : gerade Zähne sich einfacher und gründlicher reinigen.
![]() | Nischen oder engstehende Zähne führen zu einer Ansammlung von Belägen u. Bakterien (Plaque). | ![]() |
Die Plaque fördert die Bildung von Säuren und Giftstoffen, die den Schmelz aufweichen und zu einer Entzündung des Zahnfleischs führen. |
![]() | |
![]() |
Der Schmelz löst sich auf und weitere Bakterien dringen in den Zahn ein. | ![]() | Das Zahnfleisch schwillt an, mehr Plaque sammelt sich. (Gingivitis) Durch intensivere Reinigung läßt sich diese Erkrankung vollständig ausheilen.Wenn der Zustand länger andauert wird auch der Knochen zerstört. Es bildet sich eine irreversible Parodontitis. | ![]()
|
Sprechen Sie mit uns, es
muß nicht soweit kommen.
Ihr Praxisteam
Dr. Ralph Dichhardt
51643 Gummersbach - Wilhelm-Breckow-Allee 1 - Tel.: 02261 / 24040 - Fax.: 02261 / 959238
Copyright 1997 letzte Änderung Mittwoch, 22. Januar 1997
HOME-PAGE Tips zur Zahnpflege Gerade Zähne Implantate